Introduction : Sickle cell disease is an inherited hemoglobin disorder caused by a mutation in the sixth amino acid of the beta globin chain gene .
The molecular change in sickle cell disease (SCD) is base substitution of valine for glutamate in the sixth position of beta globulin gene leading to production of abnormal hemoglobin S. HbS is freely soluble when fully oxygenated ,when deoxygenated Hb S polymerises with formation of tactoids that are rigid and deform the cell into sickle shape.Normal red blood cells have a life expectancy of 110–120 days.However, the red cells in sickle are destroyed at higher rates and have a life expectancy of 15–20 days.


Test principle of sickling test
At low oxygen tension ,the solubility of hemoglobin S is decreased and they become sickle in shaped.
Sodium metabisulphite reduces the oxygen tension inducing the typical sickle-shape of red blood cells. If red cells contain HbS they become Sickle shaped .A strong reducing agent, sodium metabisulphite is mixed with blood specimen
Method: Sodium metabisulphite slide method
sample required: Blood In K2 EDTA
Test procedure
Requirements
Glass slide
coverslip
liquid paraffin/nail paint
petridish
wet cotton
2% sodium metabisulphite
incubator
microscope
Commercially available reagent can be used or we can prepare 2% Sodium Metabisulphite in 12.5 ml of distilled water add 0.25 gm of sodium metabisulphite powder
steps
1) Place a drop of blood on glass slide.
2) Add 3 drops of sodium metabisulphite.
3) Mix carefully with corner of a cover slip, seal edges with DPX mountant or petroleum jelly or nail paint and place in a Petri dish with moist cotton ,cover it and incubate for 60 mins at 37 ºC.
4) Examine the preparation using a 40X lens on microscope. (lower the diaphragm, reduce light for better contrast)
5) If the result is negative, re-examine the slide after 2 hrs and 12 hrs.
A longer incubation upto 12 hours may be required for sickling to develop in Hbs Heterozygotes.
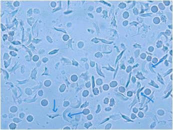
Interpretation of sickling test:
sickle cell anemia/HbS-beta thalassemia : Marked sickling is observed within 1 hour.
sickle cell trait : few cells show sickling and the process may be slower.
False negative test: May occur if HbS concentration is less than 10% (as in very young infant) or if deoxygenation is inadequate like in deterioration of reagent ,improper sealing .

Note:This is a screening method, confirmation by Hemoglobin electrophoresis is recommended.
Positive test may occur with other rare sickling hemoglobins like HbS travis,high concentration of Hb Barts